图片


图片 15年来,一直陪伴中国血管医生成长 图片


更多精彩内容

点击文末“阅读原文”,下载CEC APP

图片

AVP是现有的可应用于大直径血管和畸形血管的栓塞材料之一,其应用于大直径血管栓塞后闭塞率良好。为了促进快速、完全闭塞开发的一种新型栓塞技术--“Wire In Plug”技术,通过提前使用穿刺针穿刺血管塞,留置导丝的方式在栓塞治疗时起到精准导航,分支/成角度靶病变锚定可控等特点[1]

近期,雅培推出“堵一無二”系列专题活动。本期专题特邀厦门大学附属心血管病医院血管外科庄晖教授就“Wire In Plug技术探索话题进行了精彩的分享。



病例分享

病例一(55岁,女性)

主诉:双下肢静脉迂曲10余年,腰背部酸痛2年余。

现病史:患者10余年前无意中发现双下肢浅静脉迂曲,站立后或行走后明显。5年前加重,逐渐沿及大腿内侧,可见明显瘤样凸起,2年来伴有行走后小腿酸胀沉重,腰背部酸痛,就诊于外院骨科,诊断腰椎间盘膨出,患者自行康复,未见好转。转诊我院。

既往史:既往无特殊。

查体:双侧小腿浅静脉曲张呈条索状,双下肢Trendelenburg试验阳性,Perthes试验阴性,Pratt试验阴性。肾区叩击痛阴性。

CT提示:盆腔静脉扩张,左卵巢静脉扩张。

手术过程

手术过程(一):

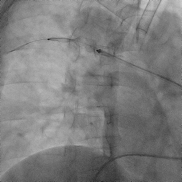
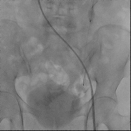
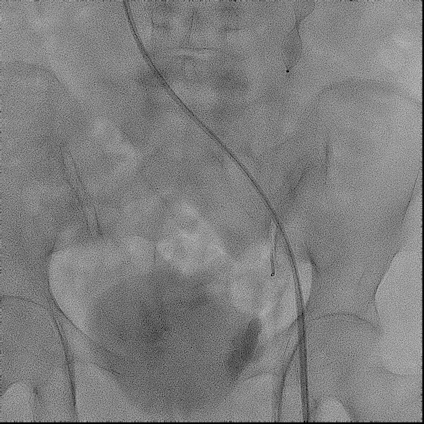
超选左肾静脉,左侧卵巢静脉,造影见卵巢静脉曲张明显,直径13 mm,盆腔大量曲张静脉显影。

图片
图片
图片

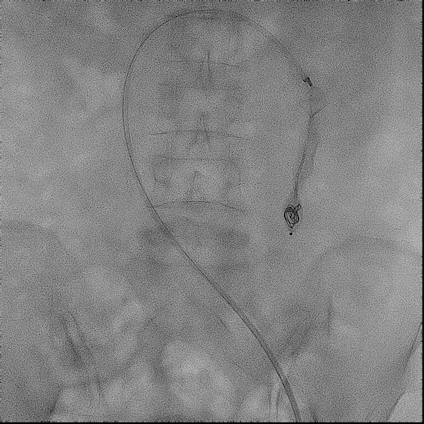
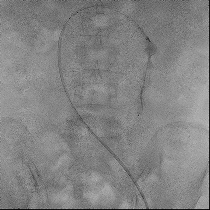
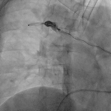
手术过程(二):

使用“Wire In Plug” 技术:在体外释放 20 mm AVP Ⅱ (网盘不解锁),使用穿刺针配合stiff导丝穿过三个网盘,回收至鞘内。


图片

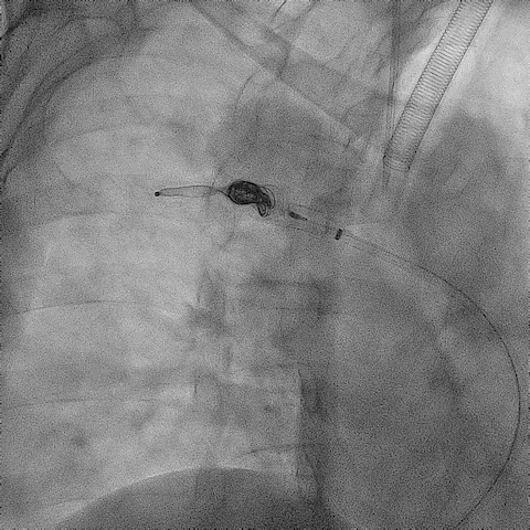
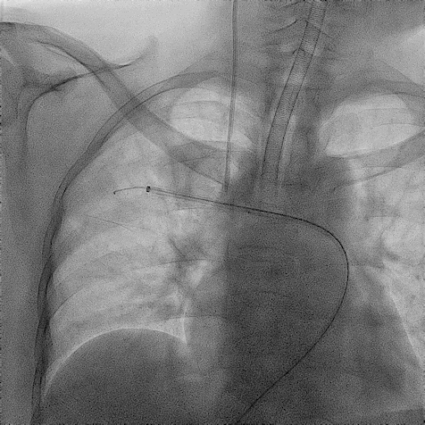
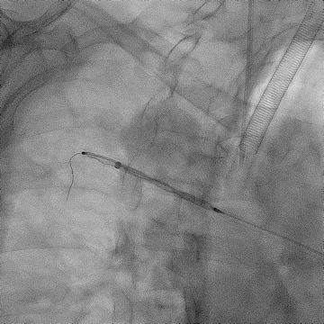
手术过程(三):

交换置入8 F-55 cm长鞘至卵巢静脉近端,经鞘内推送AVP Ⅱ,由于35导丝的强支撑性可以使AVP Ⅱ定位更加精准,选择于近段卵巢静脉释放,鞘内造影见AVP Ⅱ完全释放,VR导管经Stiff导丝置于卵巢静脉远端。


图片
图片
图片

手术过程(四):

序贯3%泡沫硬化剂、无水酒精注射,仍可见反流。

图片图片图片

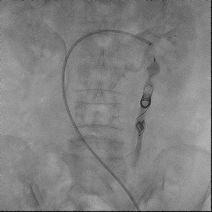
手术过程(五):

退导管至AVP Ⅱ网盘舱内,序贯植入Cook弹簧圈MWCE-35-14-14-NESTER、MWCE-35-14-20-NESTER、MWCE-35-14-14-NESTER,致密栓塞(coil in plug)。


图片图片图片

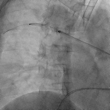
手术过程(六):

退出导管至开口处造影无明显反流征象。

图片图片图片


病例二(60岁,女性)

主诉:发现肺动静脉瘘1周。

现病史:入院前1周外院住院期间行CT增强发现右肺上下叶动静脉瘘,转诊我院。

既往史:半月前出现左侧肢体乏力外院就诊,诊断“脑梗死”,行取栓治疗,恢复期间再发“脑梗塞”,再行取栓,目前无明显活动受限。

查体:神志淡漠,口唇发绀,颈静脉无怒张,双肺呼吸音清,啰音未闻及,未及明显血管杂音,心律齐。

手术过程

手术过程(一):

右股静脉穿刺,交换8 F-90 cm长鞘导入A3段,造影见A3段远端显影良好,中段动静脉瘘高速血流,可见“瘤槽”显影。

图片图片

手术过程(二):

经8F鞘于A3段释放,“头端舱”锚定远端健康血管,使用导丝配合AVP可以完整覆盖动静脉瘘段,16mm AVP Ⅱ形态良好,Renegade微导管经18导丝送入网盘“中间舱”,仍可见明显分流。


图片图片图片

手术过程(三):

以18系统可控弹簧圈植入网盘“中间舱”,网盘张开良好,释放网盘,造影见瘤腔显影浅淡(coil in plug)


图片图片
手术结果:

图片图片

总结和体会

1、现有的可应用于大直径血管和畸形血管的栓塞材料主要有AVP Ⅱ、可控弹簧圈、大直径弹簧圈等。

2、AVP Ⅱ适用于大直径血管栓塞,栓塞后闭塞率良好,在大流量血管中锚定牢固,单纯使用弹簧圈往往价格昂贵,部分病例由于锚定区不合适难以使用,针对高流量、大直径靶病变的治疗中,移位的风险较大。

3、“Wire In Plug”(导丝穿刺血管塞)技术可以使用导丝进行导引,系统更加稳定,释放AVP时可以有助调整位置,如果选择使用弹簧圈进行Coil in plug的技术时,弹簧圈的尺寸不限也不会发生位移,可以做到更加确切的栓塞

4、AVP联合可控弹簧圈/弹簧圈的组合,在经济适用的前提下兼顾锚定区选择情况,可以做到锚定牢固,致密栓塞(coil in plug)。

专家介绍

图片

庄晖

厦门大学附属心血管病医院

血管外科主任

参编、参译多本专业书籍。专长于主动脉疾病的腔内个体化定制治疗,专长于外周动脉硬化性闭塞症及糖尿病足病的外科治疗,见长于膝下动脉的腔内治疗。专长于先天及后天血管畸形的个体化治疗、下肢静脉返流性疾病的综合治疗,见长于盆腔静脉功能不全的腔内治疗。主持多项省厅级课题,完成多篇国家级论文及SCI论文。福建省医学会血管外科分会常务委员;福建省海峡医药卫生交流协会血管外科分会副主任委员;国家心血管病专家委员会血管外科专业委员会下肢动脉委员会委员;医师协会血管外科医师分会内脏动脉学组委员;中国研究型医院学会血管外科专业委员会委员;国际血管联盟中国分会下肢动脉专业委员会委员;中国医疗保健国际交流促进会血管外科分会静脉疾病治疗学组委员。


参考文献

[1] Nagatomi S, Ichihashi S, Yamamoto H, Bolstad F, Kichikawa K. Coil-In-Plug Technique Using the Amplatzer Vascular Plug II to Occlude a Portosystemic Shunt. Vasc Endovascular Surg. 2022 Jan;56(1):121-125. doi: 10.1177/15385744211032454. Epub 2021 Jul 8. PMID: 34237235.

[2] Morita R, Abo D, Soyama T, Imai T, Takahashi B, Yoshino Y, Kinota N, Hamaguchi H, Kameda T, Kudo K. Usefulness of preoperative simulation with patient-specific hollow vascular models for high-flow renal arteriovenous fistula embolization using a preloading coil-in-plug technique. Radiol Case Rep. 2022 Jul 29;17(10):3578-3586. doi: 10.1016/j.radcr.2022.07.028. PMID: 35923334; PMCID: PMC9340117.



END

图片


图片
图片



欢迎把文章分享给更多朋友

图片


注释:本平台旨在帮助医疗卫生专业人士更好地了解相关血管疾病领域最新进展,本文仅代表专家个人观点,旨在促进学术信息的交流与沟通。若涉及版权问题,烦请权利人与我们联系,我们将尽快处理。


图片

”阅读原文“,即可下载APP