图片


图片 15年来,一直陪伴中国血管医生成长 图片


更多精彩内容

点击文末“阅读原文”,下载CEC APP

图片


Amplazter Vascular Plug (AVP) 血管塞是一种镍钛合金密网设计的栓塞装置,适用于外周动脉及静脉各种血管的栓塞,单装置,快栓塞,准定位,伪影小,是临床各类疾病栓塞治疗的利器。

【堵一無二】特色栏目为您整理了AVP应用于各类临床疾病腔内治疗的经验,包括:主动脉疾病、内脏动脉疾病、动静脉畸形以及静脉疾病。多种适用场景,快速血栓形成,可控操作,让其成为临床医师的好助手。



图片

主动脉疾病腔内治疗

对于主动脉疾病的治疗,腔内修复术的应用愈加广泛。与此同时,随着经验的积累,如何减少术后并发症的发生,为患者带来更好的预后,逐渐成为临床医师关注的话题。如:术后内漏都是主动脉疾病腔内治疗后常见的并发症。AVP栓塞效率高、定位精准可充分满足术者对于内漏预防与处理、夹层破口栓塞等治疗需求。


陆清声教授:EVAR术后Ⅱ型内漏预防与主动脉夹层破口治疗新方法


郎德海教授:AVP Ⅱ型栓塞锁骨下动脉应用体会


Amplatzer血管塞病例集锦 — 主动脉疾病

图片

使用AVP2栓塞髂内动脉预防2型内漏

图片

使用4代血管塞进行肠系膜下动脉预栓塞防止2型内漏发生

内脏动脉瘤

内脏动脉瘤虽罕见,可是一旦破裂,死亡率高,也为诊断和治疗带来极大挑战。使用AVP可以有效完成栓塞,AVP伪影较小,不影响后期随访观察。


陈仁彪教授:使用Amplatzer Vascular Plug 4(AVP 4)治疗脾门处脾动脉瘤


刘军乐教授:AVP在脾动脉瘤中的应用


刘超教授:AVP Ⅱ血管塞治疗腹腔干假性动脉瘤


Amplatzer血管塞病例集锦 — 内脏动脉瘤

图片

使用AVP对于脾动脉瘤近端远端进行栓塞



动静脉畸形

冯沅教授:肺动静脉瘘的临床诊疗


陈仁彪教授:血管内介入治疗肺动静脉瘘

图片

使用AVP对于粗大肺动静脉畸形进行栓塞

教你鉴别诊断治疗肺动静脉瘘(PAVM)




静脉疾病

近年来,腔内治疗静脉疾病效果显著。消化道静脉曲张出血作为临床常见病、多发病,病死率较高,严重危害广大群众身体健康。盆腔静脉功能不全是引起妇科盆腔疼痛的重要原因之一,多由盆腔静脉功能不全导致盆腔静脉曲张所致。而对于男性患者,精索静脉曲张可导致患者不育。AVP致密网孔可以有效与其他栓塞材料如明胶海绵,胶水,硬化剂等配合完成靶血管栓塞,提高栓塞效率减少手术时间。


庄晖教授:盆腔静脉功能不全/疾病技术探索


王瑞华教授:盆腔瘀血综合征的诊治要点

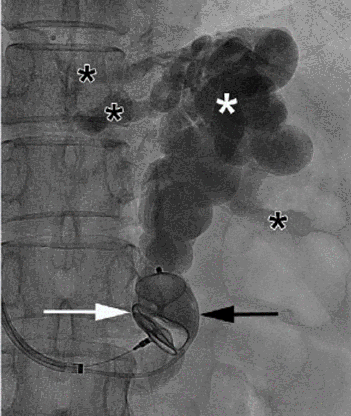
张明教授:AVP Ⅱ型在TIPS手术中的应用


Amplatzer血管塞病例集锦 — TIPS相关栓塞
图片
PARTO手术示意图

PARTO手术操作流程



AMPLATZER特点及优势






图片

Amplatzer血管塞(AVP)是一种自膨胀的圆柱形装置,由镍钛合金柔性金属丝网制成,可根据血管的形状进行调整。建议选择血管塞的直径比栓塞血管直径大约30%~50%。AVP使用方便,可以精确释放在目标血管中,位移风险低,即使在高流量血管中也能快速形成栓塞。如果对释放位置不满意,可以很容易地回收并完成再释放。AVP单装置解决方案,使用单一血管塞栓塞大血管成为可能。

基于以上特点,血管塞在大支架辅助栓塞、内脏动脉瘤、血管畸形、静脉疾病等治疗中具有广泛应用。


END

图片


图片
图片



欢迎把文章分享给更多朋友

图片


注释:本平台旨在帮助医疗卫生专业人士更好地了解相关血管疾病领域最新进展,本文仅代表专家个人观点,旨在促进学术信息的交流与沟通。若涉及版权问题,烦请权利人与我们联系,我们将尽快处理。


图片

”阅读原文“,即可下载APP

图片