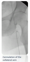
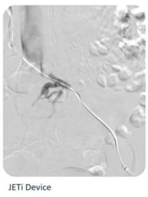
更多精彩内容 点击文末“阅读原文”,下载CEC APP 周围血管疾病是指发生在肢体血管的疾病总称,根据病变累及血管可分为动脉疾病和静脉疾病,其中尤以下肢多见。目前,我国治疗周围血管疾病的专业技术正在蓬勃发展之中,尤其是介入治疗在临床中的应用也日趋广泛。机械取栓能够快速有效地去除急性血栓,且复发率低,具有良好的疗效。 Houman Jalaie:机械性血栓切除术治疗静脉血栓栓塞是值得考虑的新治疗选择? DVT的解剖分型 近端和远端DVT比较:下肢深静脉血栓根据发生位置不同,分为近端DVT和远端DVT(图1)。近端DVT,包括:腘静脉、股深静脉、股浅静脉、股总静脉及髂外静脉;远端DVT,包括:胫前静脉、胫后静脉、腓静脉和肌间静脉,发生部位位于膝盖(腘静脉以下)。 Ascending和Decending病变比较:Decending病变通常存在潜在的慢性静脉阻塞,流入道情况好,干预后预期效果良好。Ascending病变没有潜在的解剖问题,流入道严重受损,有血栓形成倾向,干预后预期效果不佳(图2)。 图2. Decending(左)和Ascending(右)病变示意图 DVT诊疗流程 图3. DVT诊疗流程图 应用JETi机械性血栓切除装置行PMT治疗的病例分享 1. SVC症状性血栓形成 病例4:急性Ascending髂股DVT 3. 除栓2次后的造影 指南推荐 欧洲血管外科学会(ESVS)2021年静脉血栓管理临床实践指南推荐[1]:针对有选择性的有症状的髂股DVT患者,应考虑早期血栓清除策略。如果决定进行介入治疗PMT是首选的治疗方法。年轻、活跃的髂股DVT患者应尽快转诊至大型静脉中心以进一步治疗。 JETi机械外周血栓去除系统在PMT术中有诸多优势。JETi可以使得PMT手术操作更为简单快速且具有成本效益。其安全性高,发生溶血和栓子雨的几率极小。JETi的尺寸小(8F)且非常灵活,适用于DFV取栓、其他分支和逆行入路的操作,且对内皮和瓣膜的刺激小。 Michael Lichtenberg:机械性血栓切除术治疗急性下肢缺血及深静脉血栓形成案例分享 JETi的简介和工作原理 JETi机械外周血栓去除系统能够抽离外周血管中的血栓,同时降低血栓脱落的风险。JETi系统通过一个内部或外部真空泵来去除血块。它的核心技术是喷射增强血栓切除干预技术(图4)。 JETi系统治疗急性下肢缺血操作步骤 (4)机械清除血栓(抽吸路径通过0.014”导丝由近端及远端,为提高抽吸效率,由远端往近端抽吸时可以不带导丝)。 PMT治疗深静脉血栓形成具有良好安全性和有效性 Lichtenberg教授比较了急性或亚急性髂股深静脉血栓形成(IfDVT)患者接受经皮机械取栓(PMT)和单纯溶栓治疗方式的有效性和安全性。检索MEDLINE数据库,纳入有深静脉血栓形成(DVT)且接受髂股动脉干预的患者,PMT包括使用AngioJet、Penumbra Indigo或Aspirex装置的取栓术,单纯溶栓包括导管导向溶栓(CDT)、全身溶栓或超声加速CDT。结果表明,在髂股动脉DVT患者中,与单独溶栓相比,PMT的6个月累积一期通畅率更高,大出血发生率更低[2]。 JETi系统治疗急性DVT病例分享 1、术中造影可见腘静脉的急性血栓一直延伸到腔静脉。先使用溶栓药物(50 ml生理盐水+10 mg tpa+5000单位肝素)使用时间2分钟。 [1] Kakkos SK, et al. Editor's Choice - European Society for Vascular Surgery (ESVS) 2021 Clinical Practice Guidelines on the Management of Venous Thrombosis. Eur J Vasc Endovasc Surg. 2021 Jan;61(1):9-82. doi: 10.1016/j.ejvs.2020.09.023. Epub 2020 Dec 15. PMID: 33334670. END 欢迎把文章分享给更多朋友 注释:本平台旨在帮助医疗卫生专业人士更好地了解相关血管疾病领域最新进展,本文仅代表专家个人观点,旨在促进学术信息的交流与沟通。若涉及版权问题,烦请权利人与我们联系,我们将尽快处理。 戳”阅读原文“,即可下载APP 15年来,一直陪伴中国血管医生成长


