图片


图片 15年来,一直陪伴中国血管医生成长 图片


更多精彩内容

点击文末“阅读原文”,下载CEC APP


术者:张杰

首都医科大学附属北京潞河医院


图片


下肢动脉硬化闭塞症患者,常因无症状或症状不典型而被误诊或漏诊。本期“雅集秀场”邀请到首都医科大学附属北京潞河医院血管外科张杰教授分享了一例因为延误治疗,导致了下肢动脉严重钙化闭塞的病例,让我们来看看张教授是如何开通该类病变的。


病例分享
病例资料(男性,68岁)

主诉:左下肢间歇性跛行2年,足及小腿破溃10天

现病史:患者自述于2年来出现左下肢间歇性跛行,跛行距离由500米逐渐缩短至100米,10天前烫脚后出现左下肢及左足背局部破溃,正常行走约10米后即出现左小腿酸胀、麻木、无力,伴静息痛。于当地卫生院行下肢血管彩超,提示下肢动脉狭窄至闭塞。今为求进一步诊治,门诊以“下肢动脉硬化闭塞症”收入我科

既往史:高血压病病史12年,未规律诊治;冠状动脉粥样硬化性心脏病,急性非ST段抬高心肌梗死,心功能Ⅰ级(Killip分级)病史9年,行冠脉支架置入术;双侧腹股沟疝修补术后10余年

危险因素:高血压;冠心病;长期吸烟,1包/日,30年

体格检查:双下肢对称等长,左小腿胫前、左足背多处皮肤破溃,结痂,左足苍白,皮温凉;双侧股动脉搏动(+++);双侧腘动脉、足背、胫后动脉搏动(-)

辅助检查:

髂动脉彩超:双髂动脉硬化伴斑块形成,右侧髂动脉节段性狭窄(约50%)

下肢血管彩超:双下肢动脉硬化伴多发斑块形成,左侧股浅动脉下段及腘动脉上段闭塞,不除外硬化基础上血栓,右侧股浅动脉重度狭窄至闭塞,双侧胫前动脉及胫后动脉节段性狭窄(70%~99%),双下肢深静脉未见明显血栓

下肢CTA:1、腹主动脉及双下肢动脉多发管壁粥样硬化改变,伴右侧股浅动脉近中段、左侧腘动脉近段、双侧胫前动脉中远段、右侧胫后动脉中远段及左侧胫后动脉多发管腔闭塞,双侧髂内动脉及双侧胫前动脉近段多发管腔重度狭窄,多条动脉多发管腔轻中度狭窄,腹主动脉远段多发斑块溃疡。2、双侧足底动脉显影不佳

图片

入院足部写真:

图片

入院处理:完善相关辅助检查,评估病变范围,及是否存在禁忌证。给予阿司匹林肠溶片1片/日;沙格雷酯每次1片,3次/日

诊断结果:左股腘动脉硬化闭塞症;左胫前动脉长段闭塞;左胫后动脉长段闭塞;左踝下动脉硬化狭窄

手术策略:翻山技术,造影明确股浅动脉病变范围,屈膝位造影判断腘动脉病变范围。股腘病变渐进球囊扩张;依据情况药涂或跨关节支架。膝下开通胫前及胫后,尝试开通踝下病变

手术过程

手术过程(一):右侧股动脉穿刺,全身肝素化后,猪尾导管翻山,更换6F长鞘,使用雅培Command-18导丝真腔通过病变,雅培Armada-18 4mm×120mm球囊预扩张,造影提示广泛夹层,植入雅培Supera 5mm×120mm跨关节支架,并使用雅培Armada-18 5mm×120mm球囊后扩张

图片

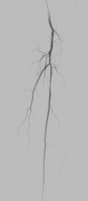
手术过程(二):股动脉入路,翻山左下肢动脉造影

图片
支架植入前造影


图片
图片
支架植入后造影

手术过程(三):左膝下胫前、胫后动脉全程闭塞;足底弓狭窄闭塞;应用雅培Command-18导丝成袢技术依次开通胫前及胫后,分别应用雅培Armada球囊2.0mm×200mm球囊扩张,再使用2.5mm×200mm药涂球囊扩张胫前动脉和胫后动脉

图片
图片
图片
术前


图片
图片
图片
术后

手术过程(四):踝下血管经足底动脉弓腔内成形(PPL)开通

图片

手术总结:该病例为三支病变,前降支开口处完全闭塞,植入支架后闭塞血管完全开通

随 访

术后随访:小腿及足部血供明显改善,创面缩小,感染控制,肉芽组织红润。

病例总结

双下肢动脉硬化闭塞症

患者经常无症状,或症状不典型,因神经病变导致疼痛敏感性降低,PAD通常在晚期才被诊断出来(出现糖尿病足)。该患者也被误诊近2个月,按照腰椎营养神经,热水泡脚治疗,结果造成足部多处烫伤。我国50岁以上2型糖尿病患者中,其中既往诊断PAD为10.6%,新诊断为11.8%,漏诊率为55.7%,应该引起大家重视,应早期诊断,早期治疗。

技术难度
1、该患者严重钙化病变,累及股腘,扩张后广泛夹层,植入跨关节支架;
2、膝下动脉胫前胫后全程闭塞,钙化严重,长度均超过30cm,同时踝下流出道不佳,应用PPL技术开通足弓动脉,保证流入道及流出道通畅,远期通畅率会更高。

END

图片


图片
图片



欢迎把文章分享给更多朋友

图片


注释:本平台旨在帮助医疗卫生专业人士更好地了解相关血管疾病领域最新进展,本文仅代表专家个人观点,旨在促进学术信息的交流与沟通。若涉及版权问题,烦请权利人与我们联系,我们将尽快处理。


图片

”阅读原文“,即可下载APP