图片


图片 15年来,一直陪伴中国血管医生成长 图片


更多精彩内容

点击文末“阅读原文”,下载CEC APP

导语

冠状动脉瘘(CAF)是指冠状动脉与心脏或大血管之间存在异常通道,多为先天性畸形,在临床中较为少见。相较于传统外科手术,腔内介入技术的使用,创伤小、恢复快,且目前技术也较为成熟。来自四川华西医院心血管内科冯沅教授分享了一例使用AMPLATZER Plug(AVP Ⅱ)成功治疗CAF的病例


图片


病史资料

>>>>>>

主诉:发现冠状动脉瘘1年。

现病史:1年前患者出生时,羊水呛咳后查体发现心脏杂音,遂至简阳市人民医院行相关检查后诊断为“冠状动脉瘘”。平素易“感冒”,无下肢水肿、呼吸困难、哭闹时紫绀等症状。查体:心界增大,心律齐,胸骨左缘3~4肋间可闻及Ⅱ~Ⅲ级收缩期杂音。

查体:心界增大,心律齐,胸骨左缘3~4肋间可闻及Ⅱ~Ⅲ级收缩期杂音。

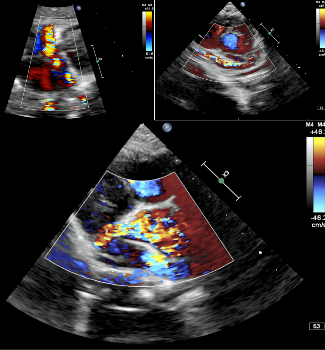
心脏彩超:LV 25 mm,LA 18 mm,RV 11 mm,RA 20 mm;EF 70%,FS 38%。左冠状动脉开口增粗,内径约7 mm,走行迂曲,回旋支增粗,瘘入冠状静脉窦,瘘口径约6 mm,瘘口处频谱呈双期湍流,Vmax=1.6 m/s;冠状静脉窦明显增粗,内径约10 mm,其右房开口径约5.7 mm,频谱呈双期高速湍流,Vmax=5.4 m/s。

图片

心脏彩超

图片

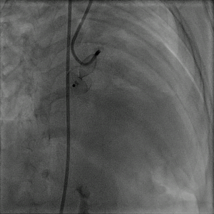
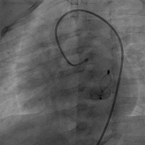
胸片

图片

冠脉CT


手术过程

>>>>>>

01

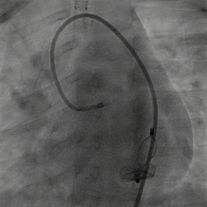
右侧股动、静脉入路。

术中造影提示左冠状动脉及回旋支明显增粗,回旋支发出一粗大的瘘血管与冠状静脉窦联通,瘘口处存在多处狭窄。

图片

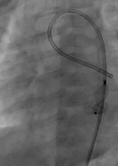
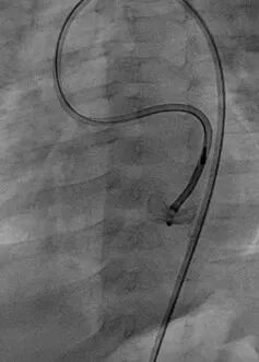
02

通过5F左冠造影管将0.032 in超滑导丝260 cm通过瘘口,进入下腔静脉后,使用网篮抓捕导丝建立轨道。

图片

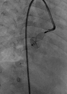
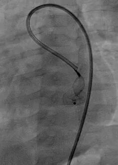
03

从右侧股动脉引入5F PDA鞘直至瘘口,经鞘管将12 mm的AMPLATZER Plug(AVP Ⅱ)1枚栓塞瘘口。

图片

图片

图片

图片
图片

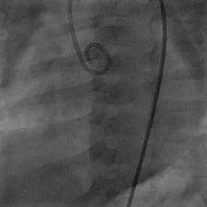
04

术后造影示栓塞处少量穿伞分流,前降支通畅,冠状静脉窦通畅。

图片

图片

图片

图片


术后结果

>>>>>>

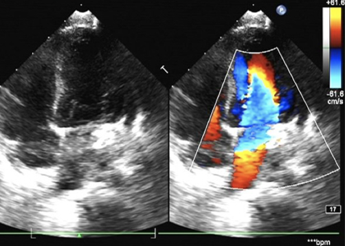
术后一月后心脏彩超:冠状静脉窦(邻近右房入口处)内探及封堵器回声,位置固定。回旋支-冠状静脉窦封堵器周未见明显分流。

图片


术者点评

>>>>>>

冠状动脉瘘是一组较为罕见的先天性疾病,介入封堵治疗对于解剖合适的冠脉瘘,需要考虑在治疗过程中输送导管及堵闭材料能否安全到达目标堵闭部位、封堵材料能否稳定放置,以及堵闭部位远端有无重要的无代偿的冠脉分支等情况。但该治疗方式存在冠脉破裂、闭塞、夹层,甚至心肌损伤、心肌梗死、心包填塞、各种心律失常等严重并发症。小儿患者的治疗需更小心,对于这种粗大的分流,AVP的输送系统可通过较小的输送系统置入大号的AMPLATZER Vascular Plug,封堵可以取得较好的效果。

专家简介

>>>>>>

图片冯沅教授
四川大学华西医院主任医师,研究生导师,华西医院先心病亚专业组长,一级专家
中华医学会心血管病分会结构性心脏病学组委员
中国医师协会结构性心脏病学组委员
中华医学会儿科学心血管学组新生儿心脏协作组副组长
中华医学会心血管病分会第10届委员会肺血管病学组委员
四川省心脏瓣膜联盟副主任委员
亚洲心脏瓣膜病学会中国分会心脏瓣膜病介入治疗技术学术委员会常委
临床经验丰富,诊疗技术水平突出,擅长结构性心脏病(先心病、瓣膜病、肺血管病、肺动脉高压)介入诊疗。领先开展多项新技术和挑战、危重症介入手术,高质量完成从新生儿到超高龄患者的各种心脏、肺血管介入手术6000台。发表SCI文章38篇(IF180+),受邀在国内外数十家著名心脏中心指导开展结构性心脏病介入手术。获得2019年四川省科技进步一等奖。


END

图片


图片
图片



欢迎把文章分享给更多朋友

图片


注释:本平台旨在帮助医疗卫生专业人士更好地了解相关血管疾病领域最新进展,本文仅代表专家个人观点,旨在促进学术信息的交流与沟通。若涉及版权问题,烦请权利人与我们联系,我们将尽快处理。


图片

”阅读原文“,即可下载APP