图片 15年来,一直陪伴中国血管医生成长 图片


更多精彩内容

点击文末“阅读原文”,下载CEC APP

导语

复旦大学附属中山医院葛均波院士、周达新教授结构性心脏病团队在OCC 2021转播了一例Emboshield Nav6抗栓塞远端保护装置下TAVR手术,获得圆满成功。

“TAVR经动脉入路至左心室的通路中,任何一个部位脱落的碎屑或急性栓子/组织/异物都可能导致术后脑中风的发生。

既往研究也提示,TAVR术后卒中风险的发生率为1.4%-7%,而TAVR围手术期中风者较未中风患者死亡率增加3倍。因此,TAVR手术过程中脑保护也是不可忽略的一个环节。” 
TAVR术中应用脑保护装置在国内仍处于起步阶段,仅见少数病例中被报道。但是,未来选择性在TAVR术中预先置入脑保护装置有望为我国钙化性主动脉瓣狭窄患者降低脑血管事件发生风险。

病史资料

>>>>>>

患者:男性,81岁;

主诉:反复胸闷气促5年伴胸痛;

心脏超声诊断:主动脉瓣明显增厚钙化伴极重度狭窄及轻度反流(最大流速: 6.07 m/s,峰值压差:147 mmHg,平均压差:65 mmHg),左室壁明显增厚致乳头肌水平以上至心尖部梗阻(峰值压差123 mmHg),轻度二尖瓣狭窄

既往史:合并冠心病(10年前PCI手术史)、高血压、高脂血症、帕金森,心功能不全III级;

心外科STS评分:7.97%,外科手术风险高危。

术前CT评估

>>>>>>

主动脉瓣评估:患者为三叶式主动脉瓣,瓣叶可见多发斑点团片结节状钙化,瓣环见粗大钙化,瓣环周长77 mm,瓣口开放面积61 mm²,左室流出道见条片状钙化

图片

手术策略

>>>>>>

经过复旦中山葛均波院士、周达新教授团队的仔细探讨,该患者主动脉瓣瓣叶、左室流出道钙化严重,球囊预扩、瓣膜释放过程中都存在脑卒中风险,因此该患者适合置入脑保护装置下进行TAVR。
结合该患者的超声及CT分析,最终考虑选择20 mm微创球囊充分扩张后,植入24 mm VitaFlow瓣膜。

手术过程

>>>>>>


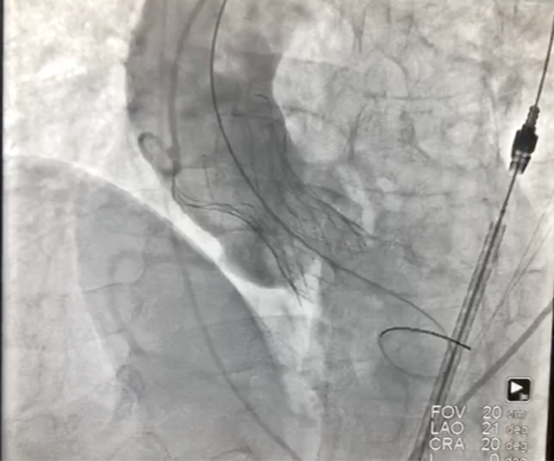
01

经右股动脉将Emboshield Nav6放栓塞装置输送至左、右颈内动脉。

图片

02

经左股动脉入路,顺利跨瓣后,选取20 mm球囊于180 bpm下快速起搏预扩,显示无漏,左、右冠脉未受影响,但可见左冠窦、无冠窦巨大钙化团块。

图片

03

按照既定策略,选择24 mm VitaFlow微创瓣膜,于180 bpm快速起搏下,快速一次性释放。

图片

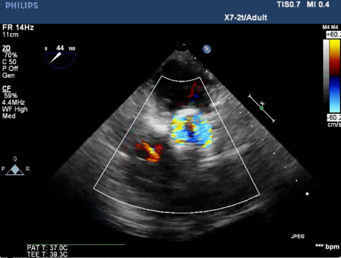
04

术后心电监护未见传导阻滞,心超提示人工主动脉瓣工作良好,瓣叶启闭正常,主动脉瓣峰值流速2 m/s,平均跨瓣压差6 mmHg,轻度瓣周漏。

图片

主动脉根部造影示瓣膜位置合适(深度2 mm),轻度瓣周漏。遂释放瓣膜,撤回脑保护装置,手术圆满成功

图片

总结

>>>>>>

对于发展迅猛的TAVR技术,在回顾、总结既往经验基础上,我中心对主动脉瓣患者进行自膨胀主动脉瓣置入时,提出了创新性的“三高”释放策略,即:起始时相对高位、打开时高速起搏、锚定后快速释放,以降低瓣膜移位导致瓣周漏、瓣中瓣等不良事件的风险。

同时,TAVR术中脑保护也是值得关注,可以有效的防治脑栓塞能够改善患者生存及生活质量。

END

图片


图片
图片



欢迎把文章分享给更多朋友

图片


注释:本平台旨在帮助医疗卫生专业人士更好地了解相关血管疾病领域最新进展,本文仅代表专家个人观点,旨在促进学术信息的交流与沟通。若涉及版权问题,烦请权利人与我们联系,我们将尽快处理。


图片

”阅读原文“,即可下载APP